牙周病簡單來說就是「牙齒的地基流失掉了」。
牙周病就好比地基出了毛病,雖然大廈主體沒有問題,但卻因土石不斷的流失,而致搖搖晃晃,隨時有坍塌的可能。這些地基其實就是牙齒周圍組織,包括牙齦、齒槽骨、牙堊質及牙周韌帶。依據研究顯示,國人罹患牙周病的比例高達70~90%,其中40%需要專業的牙周病專科醫師診治,而國人就醫的情況不及5%,所以不可不慎。
牙周病主要分為兩大類:
牙齦炎
主要的症狀局限在牙齦組織,牙齦發紅、腫脹、隱隱疼痛和刷牙流血是常見的症狀。
牙周炎
除了會有上述牙齦炎的症狀外,更進而侵犯牙齦下方的齒槽骨和牙周韌帶。一旦齒槽骨和牙周韌帶都受到破壞分解,當然牙齒就開始鬆動,咬東西變得酸軟無力。牙齦和牙齒之間產生剝離,形成囊袋,吃東西後的細小食物殘渣極易掉入囊袋內,被其內孳長的細菌利用發酵而溢出口臭,嚴重時有時會發生膿腫、發燒等現象

牙周病為慢性疾病,一般臨床症狀並不明顯,除非急性發炎時引起腫痛或經由牙齒定期檢查,才被診斷出來,所以平時並不會有明顯症狀,以致於容易被忽略掉,所以牙周病是牙齒的隱形殺手。

牙周病初期不會有明顯的徵兆, 您甚至會常常忽略它所造成的傷害。
當這些造成牙周病的細菌大量繁殖, 就會開始造成牙齦的疼痛, 嚴重的時候會化膿,產生口臭的現象, 再經過幾年的時間, 牙齒所附著的骨頭會流失, 牙齒開始搖動、位移, 齒縫變大、牙齒看起來變長, 最後,牙齒則會一一脫落。
很多人以為人老了就是會掉牙齒,因此把中老年掉牙當作自然現象,但其實這通常是牙周病所造成。倘若口腔保養得宜,年老也可以保有牙齒。

牙周治療越早開始 成效越好! 牙周組織如同地基,一但破壞便不可逆, 若流失三分,三分就沒有了, 我們所能做的,只是穩住現有的七分, 讓它不要繼續惡化下去。
因此,預防重於治療, 若您越早開始進行牙周病治療, 越能及早保住未被破壞的牙周組織。早期發現,早期治療,是牙周治療的金科玉律。
牙周病需要長期抗戰, 除了牙醫師所進行的治療之外, 最需要的是患者持之以恆的配合。
由於牙周治療有時會造成幾日術後不適, 加上需多次回診,有些人便因此放棄了。 牙周治療是否成功,三分醫師,七分患者, 醫師與患者的關係就像隊友一樣, 需攜手協力打造高標準的乾淨口腔環境, 減少牙菌斑繁殖增生的可能性。
首先將牙齒表面牙結石清除,
也就像大多數人都做過的「洗牙」;
若感染到牙根時,則需「牙根整平術」,
醫師會以工具深入到牙齦發炎的底部,
將附著於牙根表面的髒東西刮除,
讓牙根表面恢復乾淨、以利牙周組織癒合。
此階段可能會再輔助一些治療, 包括牙齦下沖洗、牙菌斑抑菌凝膠、 假牙冠邊緣整形、咬合調整、牙周雷射等等。
這階段的療程可能要花上二~三個月的時間, 以便觀察治療後牙齦改善的狀況, 再評估需要不要進行牙周手術。
牙周基本治療可解決輕度到中度的牙周病,
且牙根整平術為健保給付的治療;
大多數的患者經此階段的治療後
牙周發炎情況便有明顯的改善,
倘若您有出現疑似牙周病的症狀,建議盡快前往檢查治療。

有些人雖然知道自己已罹患牙周病,但因為怕麻煩或疼痛而選擇不看牙醫,自己在家裡努力刷牙、勤用漱口水、甚至採用偏方草藥,希望牙周病可以因此好起來,但其實這些方法不僅無效,更會延誤就醫。
牙周治療重點在於清除牙菌斑和牙結石, 以便控制齒槽骨破壞和牙齦發炎的情況, 讓牙齒和牙齦恢復健康。
口腔有許多地方是自己在家清潔不到的, 要使牙周病得到有效的控制, 必須讓牙醫師做積極的治療,牙周病是不會自己好起來的。

一、口腔檢查評估(全口X光片、囊袋探測)
二、擬定治療計畫
三、牙周病治療計畫(口腔衛生指導、牙根整平術、或合併水雷射牙周治療…等)
四、再評估(若評估不需牙周手術則進入定期維護)
五、牙周手術(牙周翻瓣手術、牙周再生術等
)
六、定期維護
七、視情況進行口腔贗復(假牙、矯正、植牙等
)
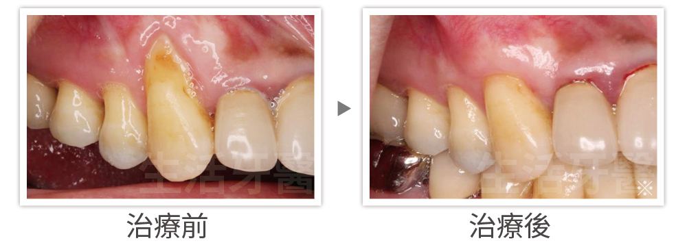
牙根覆蓋術就是利用自體牙齦或人工皮瓣,覆蓋移植至牙齦缺損區域,等到術後癒合後,
即可增加牙齦的高度和厚度,改善牙根暴露與牙齒敏感的問題。

若罹患重度牙周病, 經常導致齒槽骨破壞及牙齦組織萎縮。
導引組織再生手術的原理, 是將再生膜置入牙齦及齒槽骨間。 此外再生膜的放置可製造並維持出一空間, 引導形成牙周組織的細胞長入, 癒合後可產生新的牙周附連及齒槽骨, 重建及強化牙齒周圍的支持組織, 使牙齒能使用得更久、更穩固。
