植牙諮詢專線 04-2254 8315 (僅接受植牙諮詢)
台中牙齒矯正推薦.台中隱適美矯正.台中矯正牙齒專科牙醫診所.
專業團隊協同治療,享受更細緻的口腔醫療
選單
首頁
台中旗艦店
診所介紹
網路掛號
醫師團隊
醫療設備
植牙美學中心
南投竹山店
診所介紹
網路掛號
醫師團隊
醫療設備
數位植牙中心
診療項目
重點治療項目
All-on-4 一日全口重建
隱適美數位隱形矯正
人工植牙
假牙贗復
齒顎矯正
治療項目
美容牙科
牙周治療
顯微根管
一般牙科
植牙十大保證
專業、負責、有保固
隱適美3D隱形矯正
不用鋼牙也可以擁有整齊美齒
實際案例
All-On-4全口重建
人工植牙
假牙贗復
齒顎矯正
美容牙科
關於我們
最新消息
醫療新知
理念與緣起
電子季刊
諮詢留言
齒顎矯正 實際案例
生活牙醫治療案例分享
首頁
實際案例
齒顎矯正
全部
牙亂
暴牙
戽斗
錯咬
開咬
深咬
阻生齒
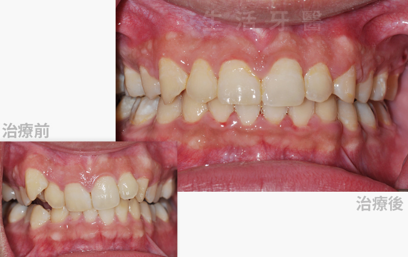
隱適美數位隱形矯正 - 牙亂 齒顎矯正
牙亂 齒顎矯正
戽斗 齒顎矯正
暴牙 齒顎矯正
錯咬+ 牙亂 齒顎矯正
暴牙 齒顎矯正
開咬 齒顎矯正
深咬+ 牙亂 齒顎矯正
兒童 阻生齒齒顎矯正 - 門牙
兒童 阻生齒齒顎矯正-犬齒
深咬 不拔牙矯正
開咬+戽斗 矯正