廣受台中植牙推薦的生活牙醫植牙專科團隊皆受過完整植牙訓練並領有證書,更有二十年資深植牙經驗,長年受學會之邀擔任植牙講師,您的植牙手術將全程由您的植牙醫師執刀,而非助理或廠商跟刀手代勞。
嚴選全球一線德國植體廠牌Struamann及Dentsply,不但是台灣各大教學醫院愛用廠牌,更有大量的長期臨床研究做背書,德國大廠植體品質穩定、長期存活率更高,日後容易維護保養,不怕成為年輕小廠牌的白老鼠。
只要到生活牙醫植牙,即可享有五年植體保固,期間內只要植體出現任何問題,立即替您安排回診檢查。且術後提供完整口腔衛教,及貼心回診電話提醒,幫助您的植牙長久健康。
術前透過百萬級3D電腦斷層口腔攝影徹底掌握口腔狀況,利用訂製的導引板進行數位導引式植牙,植牙手術精準又迅速,大幅提高成功率,植入位置精準,咬合受力承重更佳。
缺牙時常合併齒列不正、牙周病等問題,因此植牙前有時需搭配矯正或牙周治療等療程才能使植牙美觀又健康。生活有各專科醫師,故可提供全面的治療計畫,除了植牙外,其他口腔問題亦可一次搞定,省去轉診困擾。
依照個人口腔狀況及需求打造專屬植牙治療計畫,植牙價錢費用公開透明化,不怕術後無故追加費用,讓您看診無後顧之憂。

徹底掌握神經血管,生活為你貼心升級
一般傳統植牙只憑借醫師手感,安全性、可靠性、準確度都不高,非常依賴醫師經驗與直覺,若是植偏了,就算位置只差幾釐米,打穿神經血管、植牙歪斜影響咬合咀嚼、手術失敗都有可能發生。
廣受南投和台中民眾推薦的生活牙醫提供3D電腦斷層導航植牙,利用3D電腦斷層攝影,醫師能清楚掌握口腔內神經血管的分佈,更準確地規劃植牙的位置及深度,並且在電腦上事先模擬植牙的方向及位置,量身打造獨一無二的植牙導引板,植牙手術時將導引板固定在口腔中,順著定位板上的的孔洞植入植體,醫師便能夠更精準、快速且安全地完成植牙手術。
    相較於一般傳統植牙,3D電腦斷層導航植牙能減少植牙手術的過程及時間,所造成的手術傷口也較小,更可有效減少術後疼痛及腫痛的情況,讓你以更舒適的方式輕鬆擁有植牙。
      一、資料收集及評估
突破你對牙醫診所的想像,生活牙醫長年投注大量金錢與心力,引進同步歐美的高端醫療設備,以芬蘭Planmeca promax 3D拍攝3D全口斷層攝影,精細量測骨頭密度、高度和寬度,捕捉口內神經血管位置。
同時生活牙醫也會依照您的口腔條件及個人需求規劃出專屬於您的植牙治療計畫,費用透明,步驟清楚,不怕日後無故追加費用造成負擔。

二、定位板設計製作
依循術前的數位規劃資料,量身打造患者獨一無二的植牙手術定位板,做為日後植牙位置與角度的重要依據,完美避開神經血管,讓植牙手術更精準、更迅速、更安全,減少傷口,術後恢復更快、疼痛更低 。

三、植牙手術
利用定位板的孔洞輔助,將教學醫院也愛用的精選一線德國植體植入缺牙區的牙骨內,手術全程由患者指定的植牙醫師親自操作,絕不假借植牙廠商跟刀手或助理之手進行。等待約三~六個月後植體與牙骨穩固結合,再進行第二階段植體露出術,植體周圍牙肉順利癒合後,便可進入植牙假牙製作程序。
精選全球一線廠牌Struamann及Dentsply德國植體
生活植牙專科團隊不貪快,不偷步驟,媲美醫療中心級植牙標準流程,穩紮穩打地把基礎打好,只為呈現給你能用得長長久久的耐久穩固植牙。
台中植牙推薦牙醫|生活牙醫診所|台中植牙權威

四、牙肉塑型
在鎖上正式假牙前,利用臨時假牙進行植牙區的牙肉塑型,讓未來的植牙區牙肉自然豐隆,縮小牙縫,減少吃飯卡菜渣的機率,更好清潔口腔,也較不怕牙縫黑黑的不美觀。

五、螺絲固定式假牙
顧名思義就是將假牙以螺絲鎖在植體上,在假牙咬合面或側邊留下一個小洞,在未來必要時,保養或維修時都能再將螺絲轉下,徹底清潔植體周圍、減少植體周圍發炎機率,有助大幅延長使用年限,給予植牙未來更多彈性。
可拆裝,好保養,當然用得更久
因為螺絲固定式假牙精密度要求更高,工法困難,因此許多牙醫診所採做法更簡便的「黏膠固定式假牙」,直接將假牙以黏膠黏死在植體上,但溢出的黏膠一旦接觸到牙肉,牙肉受到化學物的刺激容易紅腫、發炎,甚至演變成植體牙周炎,增加植牙失敗機率,黏死的假牙周圍無法徹底清潔,或取下維修,也是後續保養的地雷。

六、五年安心保固
只要到生活牙醫植牙,即可享有五年植體保固,期間內只要植體出現任何問題,立即替您安排回診檢查。且術後提供完整口腔衛教,及貼心回診提醒,幫助您的植牙保持長久健康。
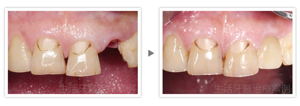
生活牙醫植牙實際案例
          
          

施作前醫師會給予口腔麻醉,因此手術中您不會有疼痛的感覺。
但是在術後麻醉退去後,術區可能會有些許疼痛或是不舒服的感覺,而這種不適感因人而異,但是在臨床上大部分的患者都能夠忍受。ㄋ只要您在術後適時施予止痛藥及冰敷,都能將不適感大幅降低,只要遵守術後照護手冊,並不會影響上班或日常生活。
人工植體在植入後,要等待三至六個月的時間,讓人工植體與周圍的牙床骨穩固結合,等待骨整合完成後,便可開始植牙假牙的製作。而從施行植牙手術(植入人工植體)到正式植牙假牙裝戴通常需要五到八個月的時間。
或許您會困惑,為什麼手術完需要等待那麼久的時間呢?其實這就好比植樹。樹木在移植到新的地方後,必須等心待等一段時間讓根鬚長出、抱緊土壤,樹木才會穩固。而植體也是一樣的,需要等待植體周圍的骨細胞和血管增生,牢牢抱住植體,未來植牙才有足夠的支撐力來承受咀嚼的咬合,換句話說,這段等待時間將影響了植牙日後的耐用度與成功率,因此,適當的等待是必要的。
植牙可以使用多久依維護保養和個人健康狀況而定。根據數據統計,傳統假牙五年成功率不到70%,而人工植牙五年成功達95%以上,依據美國文獻報告,人工植牙的十年成功率更高達約93%。
其實植牙與自然牙一樣需要您的細心呵護與清潔照顧,並定期回診做口腔檢查,也唯有良好衛生及咀嚼習慣才能延長人工植牙的壽命。而倘若您保養得宜,享用終生是沒有問題的。
俗稱的微創植牙或不翻瓣植牙,就是指在植牙的手術過程中,植牙區域無須將牙齦翻開、不露出牙骨,只切除植牙位置的少量牙肉,直接於牙骨上鑽骨後,置入植體,因為傷口小,故植牙區較不易腫脹、疼痛感降低、且手術時間縮短,故近來深受害怕手術的民眾喜愛。
但是因手術部位範圍小,視野較差,於手術時無法掌握牙床骨的狀況,故此術式較適合牙齦狀況良好的患者,且牙床骨的寬度、厚度都足夠才能施行。

全口重建並非單一種術式,更確切地來說是一種概念。全口重建是針對患者的全顎或全口無牙狀況做整體性的規劃,治療亦須結合多種口腔治療如人工植牙、假牙贗復、牙周治療等等,最終達到讓患者恢復正常咀嚼及美觀功能的目的。
由於會進行全口重建的病患除了缺牙已久,通常口腔狀況也不甚良好,治療的困難度特別高。生活牙醫醫療團隊彙整了多位口腔顎面外科專科醫師、植牙專科醫師、假牙贗復醫師或牙周專科醫師等等,能為您進行完整的治療,針對全口重建也有豐富的臨床經驗,已經幫助許多人找回美食的滋味和自信的外觀,是台中與和南投值得信賴的好選擇。

只要病況控制得宜,不論是糖尿病或高血壓皆接受植牙,享受大啖美食的快感。但提醒您在植牙評估時必須確實詳盡地告知醫師您的相關數值、身體狀況以及用藥情形,以便讓醫師做完善的判斷。
高血壓
	   一、 控制良好或輕度高血壓 (小於160/105mmHg) 且無其他全身性疾病,可做簡易植牙手術。
	   二、 中度高血壓患者 (小於190/125mmHg) 先轉介至內科做更好的藥物控制,鎮靜後可做簡易植牙手術。
	   三、 高度高血壓患者 (大於190/125mmHg) 不宜進行人工植牙手術。
      此外,高血壓患者治療時應該注意服用降血壓藥物之副作用,如:低血壓、脫水、口腔乾燥等。
糖尿病
糖尿病患者大部分都可以植牙,重度者(病史上常見低血糖發作,且多種併發症,空腹血糖值變異大,常超過300mg/dl):這類病人應會診內科處置穩定後再施行為宜。
中度者(週期性的症狀表現,代謝平衡,少併發症,血糖值200-300mg/dl):須採取飲食、藥物控制至200以下、血糖降低計畫、無菌操作及術前給予抗生素。
輕度者(沒有症狀,血糖值在150mg/dl以下):可做手術,但要注意感染危險控制。手術當天若無法正常進食,則胰島素的量可給予半量。
其實植牙是沒有年齡上限的,只要您已滿18歲,就算是年紀較長的資深銀髮族們,在身體以及口腔狀況允許的情況下,也是可以放心接受植牙,享受植牙帶來的各種好處,攝取更全方位的食物來獲取各類營養素,對健康反而更加分喔!
植牙評估時記得務必確實詳盡地告知醫師您的相關數值、身體狀況以及用藥情形,以便讓醫師做完善的判斷。
植牙價錢多少?植牙費用怎麼算?相信常常是大家心中的疑惑。根據2016年報導統計,國內植牙價格平均為6至10萬元。影響植牙價錢的因素相當多,例如醫師的資歷與技術、人工植體的廠牌、植牙假牙的品質、手術相關耗材及硬體醫療設備等等。另外由於每個人的口腔狀況不同,所適用的植體和植牙假牙也不一樣,因此無法一概而論,確切費用皆需由專業醫師親診過後才能得知。
而坊間有些不肖牙醫診所,為了壓低植牙收費拉攏病患,在手術時是由植體廠商業務進行植牙,又或者採用不成熟的植體系統或廠牌,導致日後植牙相關零件停產斷貨無法維修,變成「植牙孤兒」,甚至是為患者種植尺寸或設計不良的植體,造成植牙失敗率大增。
生活牙醫提醒您,植牙關乎您的口腔健康,千萬要放大眼睛仔細看,別一味追求CP值,若日後植牙處出現問題,就得耗費更多時間及金錢來補救,那豈不得不償失。
牙齒喪失後,牙床骨及牙肉在短短的時間內,便會產生大量的吸收。一但需要植牙,才發覺到缺牙區的骨量與牙肉有不足的情況發生,常常需要利用附加手術,先將缺牙區的種植條件改善後,才能進行植牙。以確保植牙能夠美觀舒適地長久使用。
優化骨頭條件補骨手術(補骨)
就像蓋房子前要先打好地基,地基穩固,房子才安全。在植牙手術前或手術中,醫師會視情況施予補骨手術。利用置入自體骨、骨粉,或劈開牙脊等方式,促進骨頭再生,讓牙床骨達到理想的寬度及高度,使植體能夠承受咬合力,日後更加穩固耐用。
植體週邊牙齦組織重建手術(補皮)
為為了使植牙區周邊牙肉能承受咀嚼磨擦所產生的磨擦力量,也為了使將來植牙更美觀,並容易清潔保養,使得日後使用上更舒適 、更耐用。
醫師會從口腔內部取自體牙肉或使用人工合成皮來移植至植牙區附近,這種術式稱為角化牙齦增生術,也就是所謂的補皮。

上顎鼻竇提高術
上顎骨後方區域,在齒槽骨的上面有一個空腔,叫上顎鼻竇。 每個人的上顎鼻竇大小不一,且上顎鼻竇會隨年齡或缺牙漸漸擴張。 若上顎鼻竇過大,佔據了齒槽骨的位置, 將使齒槽骨萎縮,無法置入夠長的人工植體。
	   因此,在進行植牙手術前或中,醫師會先施予上顎鼻竇增高術,
	   利用不同的手術方式,將上顎鼻竇黏膜往上推並置入骨粉,
	   使齒槽骨的垂直高度足以植入人工牙根。
      


雖然All-On-4全口重建已經可以應付多數的長期全口缺牙或多顆缺牙,但若是缺牙太久,上顎後牙區的牙骨萎縮到高度無法容納植體,在不補骨的狀況下,可以改採顴骨植牙來爭取更多空間。
什麼是顴骨植牙
在上顎後牙區沿著鼻竇腔角度,斜斜植入深至顴骨的植體,顴骨植體的長度是一般植體的3~5倍長,特殊長度和角度使植體可在牙骨量不足的情況下能仍牢牢抓緊骨頭。
顴骨植牙難度極高,因為植體更長、植入位置更斜,植入位置更深至顴骨,除了需要更精密的數位口腔斷層攝影儀輔助,以掌握患者的鼻竇腔和牙齒牙骨狀態,醫師的經驗及專業度要求也更高,因此建議由資深口腔外科專科醫師施行。

誰需要顴骨植牙
需要全口重建,但是長期缺牙導致上顎後牙區牙骨不足的人。上顎後牙區牙骨高度無法容納植體,且不補骨的情況下,若使用一般All-On-4植牙,因為植體與牙齒接觸面積不足將無法完成足夠的骨整合,終將導致植牙失敗;因此建議利用顴骨植牙增加更多牙骨附著度、爭取更強的植體穩固性,來完成All-On-4全口重建。

凡是顴骨植牙、高難度AO4/6、全口重建植牙手術,術中為確保植體植入精準度、上顎鼻竇腔/下顎神經管/口腔軟組織/身心功能安全性,患者皆須以全身麻醉進行手術。
手術前
術前至少7天需至特約診所進行身體健康檢查,其中需包括血液檢查(CBC血液常規檢查、PT凝血酶原時間、APTT部分凝血活酶時間)、心電圖、胸腔X光片等三項檢驗,主要目的為提供麻醉醫師評估生理及心理狀況,確認手術風險及保障您的安全。
       
若本身有慢性疾病如糖尿病、高血壓、心臟病、氣喘、肝腎疾病、血液疾病、免疫系統疾病、過敏病史、特殊用藥等等,也務必如實告知麻醉醫護人員。
	 
抗凝血藥物 - 抗凝血藥物,避免手術時的出血現象,建議術前5-7天停藥,術後3天再服用
抗憂鬱藥物 - 抗憂鬱藥物,如單胺氧化酶抑制劑 (monoamine oxidase inhibitor, MAOI)
高血壓藥物 - 高血壓藥物,如乙型交感神經阻斷劑 (beta blocker)
糖尿病的患者 - 糖尿病的患者須注意,禁食期間不要服用降血糖的藥物或施打胰島素,以免在禁食期間或麻醉當中發生低血糖致昏迷或休克的情況
手術後
1. 術後可能會有噁心、嘔吐、疲倦嗜睡、頭暈、肌肉痠痛及皮膚受損等不適情形,此皆為術後常見症狀。
2. 為避免加重嗜睡、暈眩等副作用,術後請勿飲酒或酒精性飲料(包含酒精成分食物)。
3. 術後可能因插管而有鼻子及喉嚨不適、流鼻血症狀約7天。喉嚨不舒適、聲音 沙啞,不適應的感覺約1-2天後可緩解。
4. 手術後需常做深呼吸、咳嗽運動,以促進肺部的擴張,可進食後多喝溫開水以減輕不適。
5. 全身麻醉手術完畢後,會至麻醉恢復室觀察至少2小時,恢復期醫護人員將依您的體溫情形給予適當的保暖及被蓋。
6. 需採漸進式下床:清醒後待無不適,在床緣稍坐片刻後再站立,如無頭暈、軟弱不適,才可下床行走,當日會由醫護人員扶持陪伴,以防跌倒。
7. 麻醉恢復後,皆需有家屬或朋友陪伴,不可自己騎車或開車返家,以確保自身安全。
手術時間加快50%、傷口更小、疼痛更少