台中植牙 下顎後牙單顆人工植牙暨補骨和補皮(角化牙齦增生術) 實際案例
2017.07.18台中植牙推薦,台中植牙權威,台中植牙牙醫診所,台中植牙費用價格,台中植牙專科醫師,台中牙醫診所,南屯牙醫診所 醫師:台中 生活牙醫植牙美學中心 曾吉杉醫師
治療內容:下顎後牙單顆人工植牙暨補骨和補皮(角化牙齦增生術)
同步發表於 曾吉杉醫師的部落格

這位施先生的左下第一大臼齒的牙周發炎,持續化膿腫痛
在經過牙周治療多次卻無改善後
醫師建議拔除該牙位,並填補膠原蛋白以加速癒合
等拔牙傷口復原後再進行人工植牙,以修復缺牙的牙位
拔牙傷口復原後,準備進入人工植牙術式
因為施先生的該牙位的齒槽骨骨質不足
所以需要人工植牙需要合併補骨手術一併進行

拔牙傷口已經癒合,準備進入植牙手術階段
首先,為了提供更精確的植牙品質
在進行植牙前我們都會先利用由牙模和3D電腦斷層攝影取得的資訊
為患者訂製專屬的植牙手術定位板,並模擬未來植牙假牙的型態
進行植牙手術,利用術前為施先生量身訂製的植牙定位板進行更精準的植牙
植入人工植體
補骨手術 - 在術區填補人工骨粉,並覆蓋上再生膜
進行術區縫合,人工植牙手術完成
在植體骨整合後,醫師依照復原狀況進行評估
發現施先生該牙位的角化牙齦不足
若是角化牙齦不足,會造成植牙較無法承受外力刺激
以後除了刷牙施力較不舒適以外,牙肉也容易發炎、萎縮
所以需要進行補皮,也就是所謂的角化牙齦增生術
透過角化牙齦增生術,日後該植牙將可承受牙刷清潔牙齒時的摩擦力
提供牙齒便於清潔的乾淨環境
牙齦也比較不容易發炎
骨整合後,準備進行角化牙齦增生術
完成角化牙齦增生術
角化牙齦增生術傷口復原後
進行第二階段植體露出術,並取模製作臨時假牙
角化牙齦術術區傷口癒合良好
除去部份牙肉,使植體得以露出
並進行植牙假牙取模
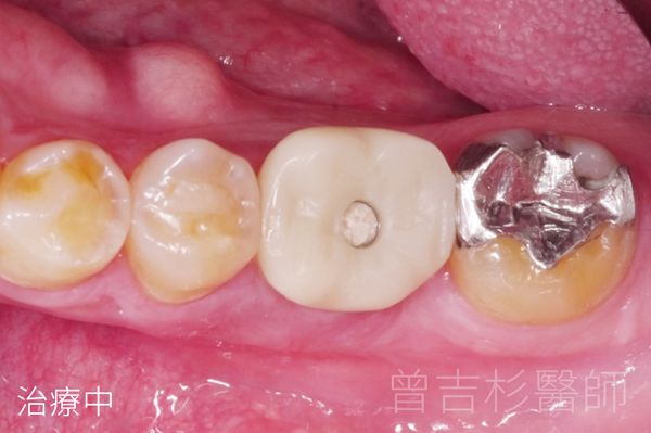
裝戴上製作好的臨時植牙假牙
並利用它進行牙肉塑型
裝戴上臨時植牙假牙以復健咬合功能
利用臨時假牙進行牙肉型態塑型
當咬合及牙肉型態狀況穩定後
裝戴上正式全瓷冠植牙假牙,完成療程
裝戴上正式植牙假牙,大功告成

植牙前後比較



